Le DDEU (Dispositif de Distalisation et Egression Unilatérale), permet une correction de la classe II tout en corrigeant la cinématique mandibulaire afin d'o...
Fiches conseils
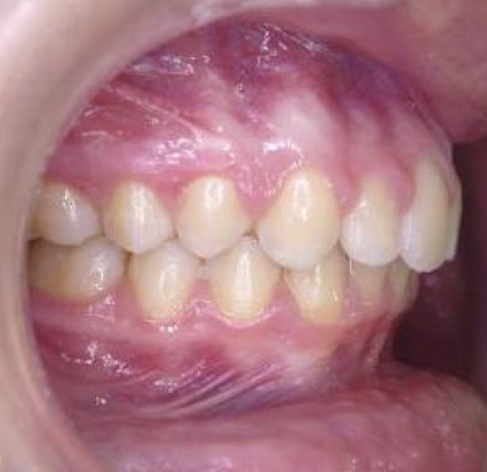
Les MIH (Hypominéralisations Molaires Incisives) désignent des défauts de l’émail affectant principalement les premières molaires permanentes, qui apparaisse...
Le Motion Carriere est un dispositif peu invisible et indolore permettant la correction de l’emboitement des molaires, prémolaires et canines et de la mastic...
Il y a rarement de véritables urgences en orthodontie. Cependant, les patients sont parfois confrontés à différents problèmes au cours de leur traitement : inconfort, gêne, difficulté d’adaptation… Un choc peut aussi survenir sur l’appareil ou sur les dents traitées.
Invisalign est une technique de gouttières transparentes. Vous en changez tous les 5 à 14 jours selon le cas.






